CASOS DE ESTUDIO PARA RADIOLOGOS
HEPATOCARCINOMA FIBROLAMINAL
FIBROLAMINAL HEPATOCARCINOMA
Yonathan Martin Antonio Cutz Poroj(1)
Lic. Luis Roberto Orozco (2)
Dr. Eric Eduardo Maldonado Muñoz(3)
PREFACIO
Paciente de sexo femenino, de 76 años de edad, originario y residente de Quetzaltenango, se presenta a Resonancia Magnética La Democracia, para efectuar estudio de MRI de abdomen, en busca de lesión a nivel hepático, paciente ictérica con presencia de dolor en la parte alta del abdomen presenta náuseas, vómitos, debilidad y abdomen globoso.
PREFACE
Female patient, 76 years old, originally and resident of Quetzaltenango, presented to La Democracia Magnetic Resonance, to perform an abdominal MRI study, in search of liver injury, jaundiced patient with presence of pain in the upper abdomen presents nausea, vomiting, weakness and ballooning abdomen.
PALABRAS CLAVE
Hepatocarcioma, resonancia, abdomen.
KEYWORDS
Hepatocarcioma, MRI, abdomen.
HISTORIA DEL PACIENTE
Paciente de sexo femenino, de 76 años de edad, con antecedente de depresión en tratamiento con psicoterapia. Consultó con cuadro de un mes de compromiso del estado general. Una semana antes de consultar presentó dolor en hipocondrio derecho, intermitente, que no cedía con la ingesta de analgésicos. Tres días antes de consultar, presentó fiebre no cuantificada; acude a facultativo por que el dolor no sede en la región para esternal derecha, y presenta dificultad para respirar.
TECNICA EMPLEADA
Se procede a atender a paciente luego de cumplir con los protocolos para la realización de estudios de resonancia, paciente ingresa a zona 4, se coloca en posición decúbito supino, se utiliza gating respiratorio, estudio se obtiene con uso de bobina phase arrays, PSP Axial, sagital y coronal, secuencias Se y Gre, ponderadas a T1 y T2, se administra medio de contraste hepato especifico y se utiliza protocolo para estudio dinámico.
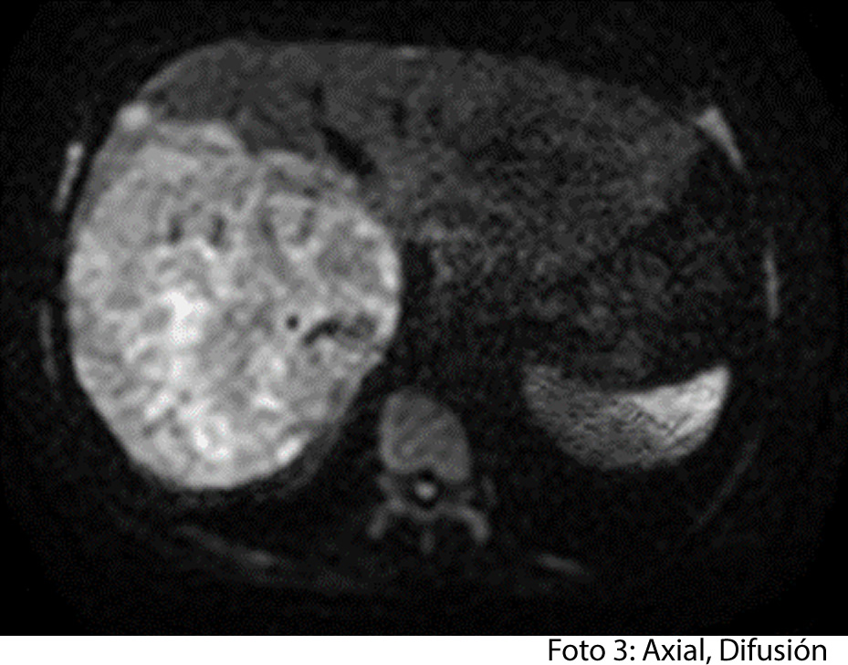
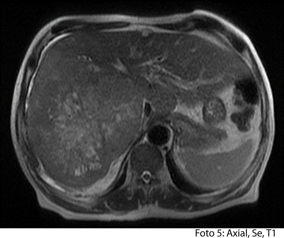
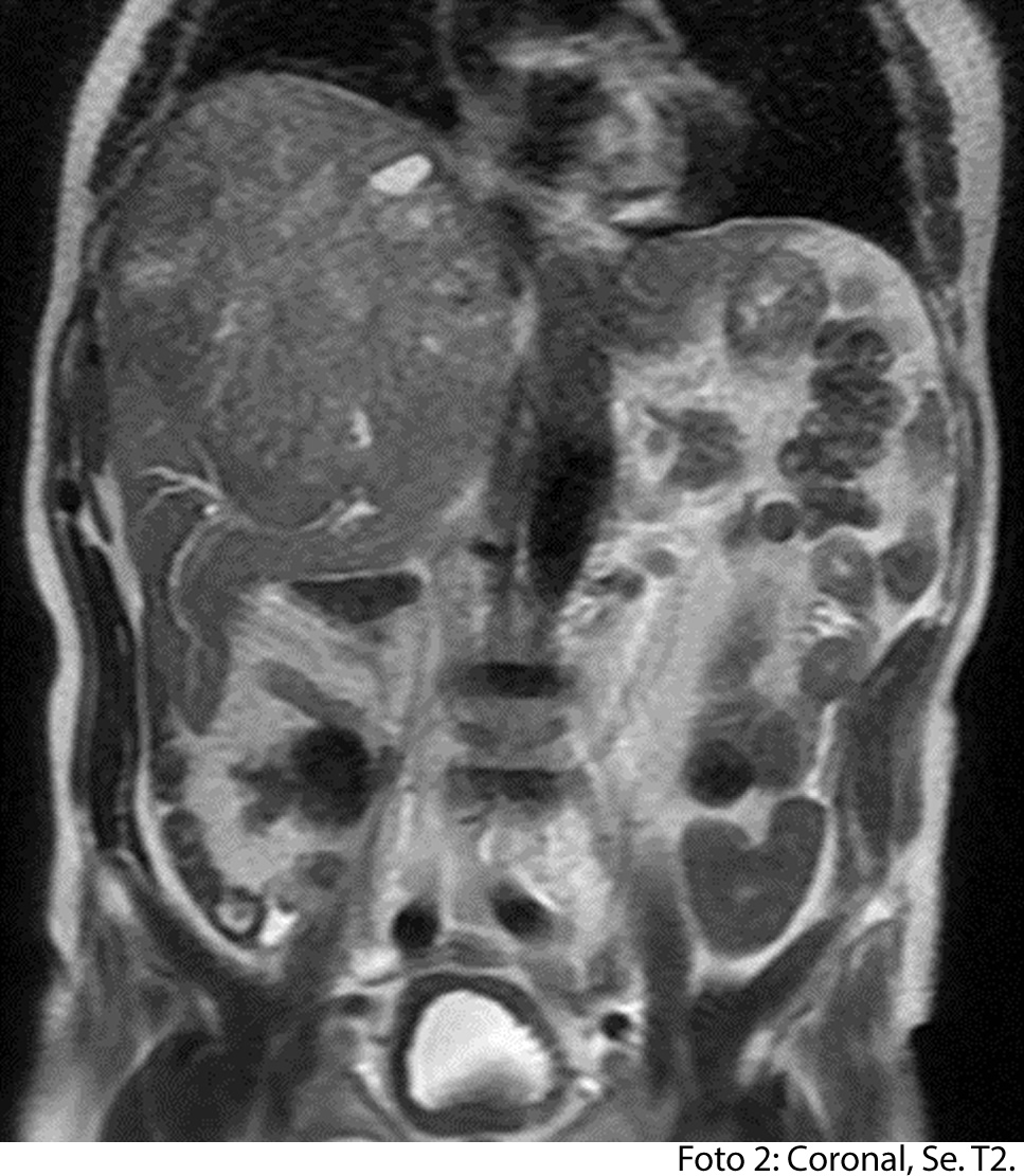
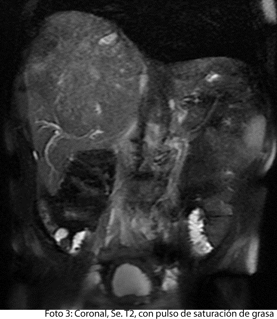
HALLAZGOS IMAGENOLOGICOS
• HEPATOCARCINOMA FIBROLAMINAL QUE COMPROMETE TODO EL LÓBULO DERECHO DEL HÍGADO
El hepatocarcinoma aparece casi siempre como consecuencia de una enfermedad hepática de larga evolución, que en la mayoría de los casos es una hepatitis crónica. La mayoría de los pacientes tiene más de 40 años. Los virus de la hepatitis B y C producen a veces cirrosis y algunos de los pacientes con cirrosis desarrollan tumores en el hígado. Las cirrosis de otro origen, como el alcohol o trastornos metabólicos, también predisponen a la aparición de hepatocarcinoma. En las zonas en las que el cáncer de hígado es más frecuente (Sudeste Asiático y África), se produce con mucha mayor frecuencia sin necesidad de cirrosis hepática previa. En estas regiones, los pacientes enferman, por lo general, a una edad más temprana (antes de los 40 años). Patogénesis y angiogénesis en el carcinoma hepatocelular. La angiogénesis se conoce como la formación de nuevos vasos sanguíneos a partir de la vasculatura pre existente y este proceso es un paso esencial durante la hepatocarcinogénesis y la progresión del HCC. El HCC se caracteriza por vías angiogénicas activadas, proliferación de células endoteliales, aumento de la densidad de la microvasculatura y un aporte sanguíneo casi exclusivo por parte de ramas derivadas de la arteria hepática. Esta arterialización evoluciona gradualmente desde los nódulos displásicos hasta el HCC y produce el patrón hipervascularizado típico del HCC durante la fase arterial de los estudios imagenológicos (US con contraste, TC o RMN) y un lavado tardío en la fase venosa portal. Estos hallazgos imagenológicos vasculares se usan como criterios diagnósticos no invasivos del HCC de la EASL (Asociación Europea para el Estudio del Hígado) y la AASLD. (Asociación Americana para el Estudio del Hígado). La angiogénesis tumoral es distinta de la angiogénesis fisiológica la cual ocurre por ejemplo durante la regeneración hepática. La angiogénesis tumoral en el HCC no es autolimitada en el tiempo y conlleva a formación de vasos anormales caracterizados por lumen amplio, dilataciones aneurismáticas, flujo sanguíneo irregular, regiones de estasis, alta permeabilidad, filtraciones o sangrados. Cuando está en fase avanzada se presenta con síntomas y signos físicos típicos y el diagnóstico es fácil. Antes de este estadio, el diagnóstico clínico suele ser difícil. La mayoría de las veces coexiste con cirrosis. El HCC comúnmente se desarrolla como complicación de cirrosis de larga data y puede que el paciente tenga pocos síntomas nuevos o diferentes a los de la cirrosis. Se debe sospechar en un paciente cirrótico con cambios repentinos en su condición física. Puede haber dolor abdominal o pérdida de peso, ascitis teñida de sangre, el hígado puede aumentar rápidamente de tamaño o aparecer un soplo sobre el área hepática o aparición de insuficiencia hepática.
Síntomas: Dolor en hipocondrio derecho y/o en epigastrio. Debilidad y pérdida de peso. Hiporexia, saciedad temprana y llenura postprandial. Aumento de volumen abdominal y aparición de masa en hemiabdomen superior. Ictericia es infrecuente en estadios tempranos y suele ser obstructiva. Puede observarse abdomen agudo por ruptura del tumor que causa hemoperitoneo. Dolores óseos por metástasis esqueléticas con paraplejias de aparición brusca secundaria a destrucción vertebral. Tos o disnea por metástasis pulmonares o por elevación marcada del hemidiafragma derecho. Es el tumor primario del hígado más frecuente. Supone la quinta causa de muerte por cáncer en el mundo hoy en día contamos con un amplio abanico de tratamientos: el trasplante hepático, la cirugía de resección, la ablación por radiofrecuencia, la quimioembolización o la radioembolización. Además, en los últimos años se han desarrollado fármacos capaces de actuar sistémicamente en distintas etapas de la enfermedad. determinar la presencia y el alcance de la invasión del músculo de la pared torácica.
MÉTODOS DIAGNOSTICOS
• TC abdomen simple y contrastado:
Este tipo de estudio nos ayuda a poder visualizar la presencia de lesiones ocupativas en segmentos hepáticos IV, causa compresión extrínseca de vías biliares intrahepáticas.
Fase arterial demuestra vasos aferentes dependientes de la arteria hepática que causa realce temprano de la masa en estudio. Compresión extrínseca de vena porta y vena cava inferior.
• Resonancia Magnética de abdomen:
Es un método utilizado en el cual podemos observar una gran masa localizada en los segmentos del hígado también se puede medir el diámetro de la masa, el hepatocarcinoma también puede presentar focos hemorrágicos y además podemos captar de manera heterogénea el medio de contraste intravenoso. En los hepatocarcinomas podemos ver obstruyendo parcialmente la vena porta. Adenomegalias los cuales nos indican Los hallazgos como primera posibilidad diagnóstica, carcinoma hepatocelular fibrolamelar (CHC-FL).
-
(1) Estudiante de medicina, Facultad de Medicina, Universidad Mesoamericana, sede Quetzaltenango. Rotación área de bio imágenes.
(2) Licenciado en Pedagogía, coordinador página web idesxela.com, Diplomado Resonancia Magnética, Universidad Pontificia Católica de Chile, Docente Universitario.
(3) Magister en Imágenes Diagnosticas, Magister en educación superior, Coordinador rotación estudiantes de medicina Facultad de Medicina Universidad Mesoamericana, sede Quetzaltenango, área de bio imágenes. Coordinador residencia de radiología Hospital Regional de Occidente, Universidad de San Carlos de Guatemala, Docente Universitario.





